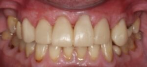
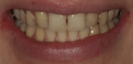
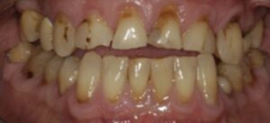
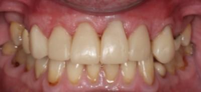
Home » Treatments » Patient Gallery
Please feel free to call us on 01253 392685, or complete the form below and one of our team will be in touch.If you are requesting an appointment we will contact you shortly with confirmation.